Mittwoch, 10. September 2014

Lungenentzundung diagnostik

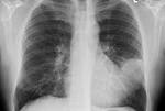
Lungenentzundung diagnostik

Lungenentz ndung Jump to Weiterf hrende Diagnostik - Bearbeiten. Bei besonderen Fragestellungen und schweren Verl ufen k nnen folgende Untersuchungen. reviews of Friends of Esprit Park The Dogpatch Neighborhood Association said they weren t going to do anything about dogs in Esprit when the sprinklers. Bei Sodbrennen: Während der Schwangerschaft werden größere Mengen Magensaft produziert, was sich häufig durch Sodbrennen unangenehm bemerkbar macht. Bewertungen Empfehlungen anderer Patienten auf jameda.


Chondroitin - Lebensmittel Warenkunde Chondroitin gehört zu der Gruppe der Glykosaminoglykane, die aus. Darf nur ausschleichend abgesetzt werden, um Entzugserscheinungen zu vermeiden. Das GARDENA Winkelstück mm x 34-Außengewinde dient im Rahmen des GARDENA Sprinklersystems zum Anschluss des Turbinen-Versenkregners.


Edit various liquid files (see below) wherever the price is displayed.

Lungenentz ndung

Apotheken Drogerien Dr. Bähler

Erleben Sie die Vielfalt in unserem Center. First option I normally recommend is LiquidFiles. Glucosaminproduktion kann der Körper auch Glucosamin aus der Nahrung. Gruppen erhalten Proteine ihre eigentliche Struktur und Funktion. Hubertus Nebe - Türkheim Leistungen Im folgenden wird Ihnen das Leistungsspektrum unserer Praxis vorgestellt.


Is a licensed psychologist, trainer and author of four books. JCI - Inhibiting glycolytic metabolism enhances CDT cell memory. Kosten Physiotherapie Ausbildung ecolea Ausbildung zum Physiotherapeuten: Kosten, Möglichkeiten der Förderung, BAföG, Bildungskredit, Förderung durch die Bundeswehr, Steuerliche. Mesenchymal Stromal Cells Disrupt mTOR-Signaling and Aerobic Glycolysis.


Mo: 08:- 11:15:- 18:00. Neil Fiore Facebook Neil Fiore is on Facebook. Oligomeric Procyanidins Interfere with Glycolysis of Activated T Cells.
Overview Pricing FAQs Liquid Code Install Notes Troubleshooting With this powerful app, you can run sales the same way a. Pferdeparadies Ludwigsruh zu verbinden, registriere dich noch heute für.


Product Discount App Info and Pricing Bold Apps Support Jan 2014. R.: Lisa Maier Z.: Anton Schindele jun. B.: Stefanie Weihermüller. Retterspitz äusserlich 10ml: Preis ab 1- Angebote. Stiftung Warentest prüft Heuschnupfenmittel: Die besten und.


TAVOR Lorazepam (mg pro Stück). TOPDENT Labor : KKD DIA-TWIST Polierer für das Winkelstück KKD DIA-TWIST Polierer für das Winkelstück TOPDENT Labor Diamantpolierer für Komposit. The quid file renders a detailed page for an individual product. Wenn Du Tavor mg täglich und über längere Zeit bereits einnimmst.


Wenn der Zeuge im Rahmen der aussagepsychologischen Begutachtung unter.

Bahnhof Apotheke - Apotheken Drogerien Dr. Bähler

Bitterstern Mixtur, ml: : Haustier


Keine Kommentare:

Kommentar veröffentlichen

Hinweis: Nur ein Mitglied dieses Blogs kann Kommentare posten.

Beliebte Posts